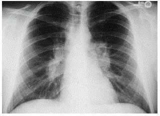
Um homem de 30 anos procurou atendimento médico devido à alteração de radiografia de tórax encontrada quando fez exames de rotina (figura abaixo). A princípio não relatava queixas, mas na anamnese dirigida referiu tosse seca há cerca de 6 meses. HPP: paralisia facial periférica há 3 meses com boa recuperação. O diagnóstico provável é
