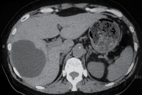
Observe a imagem a seguir.
O corte tomográfico computadorizado abdominal sugere
hepatocarcinoma.
nódulo de regeneração hepática.
cisto hepático.
metástase hepática isolada.
adenoma hepático.
Olá, para continuar, precisamos criar uma conta! É rápido e grátis.