Magna Concursos
823168 Ano: 2012
Disciplina: Medicina
Banca: VUNESP
Orgão: PM-SP

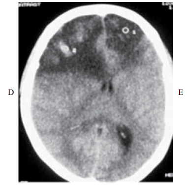
Paciente com 22 anos de idade foi admitida a serviço de emergência devido a comprometimento do nível de consciência há um dia. Ao exame físico, estava febril (39 °C), pressão arterial 70x50 mmHg, comatosa, sem resposta aos estímulos nociceptivos, pupila direita midriática. A família refere que a paciente se queixava de cefaleia há três dias. Como antecedentes, a paciente estava em tratamento com azatioprina 75 mg/dia e predinisona 20 mg/dia, devido a ulcerocolite O hemograma mostra 12 000 leucócitos/mm 3 (82% polimorfonucleares, 18% linfócitos), hemoglobina de 9 g/dL, e potássio sérico de 2.8 mEq/L. A tomografia de crânio é mostrada a seguir:

enunciado 823168-1

Com esses elementos, a sua primeira hipótese diagnóstica seria:

 

Provas

Questão presente nas seguintes provas