Magna Concursos
3029319 Ano: 2023
Disciplina: Medicina
Banca: IBFC
Orgão: EBSERH

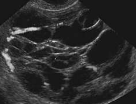
A imagem de um exame ultrassonográfico ginecológico abaixo é suspeita para:

Enunciado 3029319-1

 

Provas

Questão presente nas seguintes provas

Médico - Ultrassonografia em Obstetrícia

60 Questões