Magna Concursos
46298 Ano: 2009
Disciplina: Biologia
Banca: UFRN
Orgão: UFRN

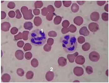
A figura abaixo representa uma lâmina referente a um hemograma.

Enunciado 3896570-1

Na figura, os números 1 e 2 correspondem, respectivamente, a

 

Provas

Questão presente nas seguintes provas