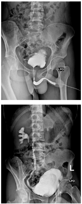
Criança de 8 anos, sexo masculino, vem apresentando história de infecção do trato urinário de repetição com relato de internação há 2 meses por febre
alta e dor lombar. Foi encaminhada ao setor de
radiologia pediátrica para investigação.

Após a análise do exame, pode-se afirmar que:

Após a análise do exame, pode-se afirmar que: