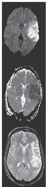
Observe a sequência de imagens Difusão, ADC e T2 em paciente
com Acidente Vascular Cerebral (AVC), adquiridas duas horas após
o evento.
A área afetada pelo AVC corresponde ao seguinte território vascular:
A área afetada pelo AVC corresponde ao seguinte território vascular: