Paciente de 57 anos, masculino, hipertenso, com miocardiopatia
isquêmica e insuficiência cardíaca de fração de ejeção reduzida,
pouco aderente ao tratamento medicamentoso, recém-admitido
na sala de emergência trazido por familiares por desconforto
respiratório, dispneia paroxística noturna e ortopneia progressivos
há 1 semana.
Na admissão, em mau estado geral, taquidispneico com FR 35, com
uso de musculatura acessória, SpO2 92% em uso de máscara não
reinalante 15 L/min, com PA 100x60 mmHg, FC 75 bpm, ausculta
cardíaca com bulhas cardíacas hipofonéticas, sem sopros e
ausculta pulmonar com estertores bilaterais difusamente e
murmúrio vesicular diminuído em base direita.
Optou-se, então, por intubação orotraqueal. Realizado
posicionamento correto do doente, pré-oxigenação, indução e
laringoscopia direta com lâmina curva nº 4, com ajuste bimanual
da posição da via aérea. Na melhor posição encontrada,
visualizada via aérea conforme imagem a seguir.

Via aérea com visualização de epiglote, valéculas e parcial da glote,
cordas vocais.

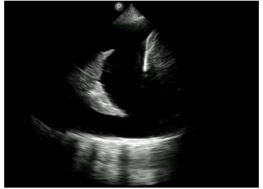
Imagem de ultrassonografia torácica com visualização de estrutura hiperecogênica triangular, com presença de regiões mais e menos hiperecogênicas de maneira intercalada, cercada por material homogeneamente hipoecogênico.
Assinale a opção que descreve o achado.