Paciente masculino de 56 anos, sabidamente portador de doença diverticular dos cólons, apresenta dor abdominal tipo cólica há 5 dias, com diminuição do apetite e procurou atendimento para investigação. Ao exame físico apresentava dor à palpação profunda em fossa ilíaca esquerda, sem massas palpáveis, com DB negativo.
Foram realizados exames laboratoriais: Hemoglobina: 12,6 g/dL, Leucócitos: 16.260/mm³, Plaquetas: 260.000/mm³, Creatinina: 1,2 mg/dL, Ureia: 21,8 mg/dL, PCR: 23,9 mg/L (VR: <1,0 mg/L).
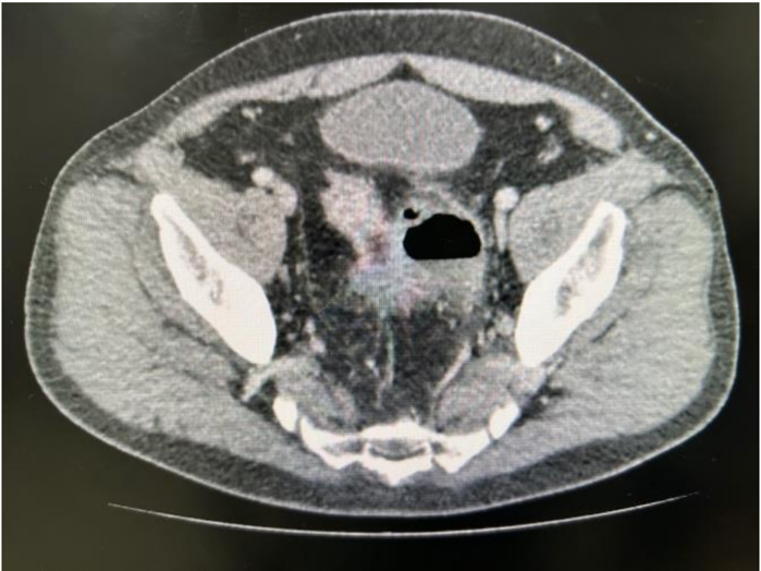
Realizada tomografia computadorizada de abdome com contraste, mostrando imagem de coleção de 5,6cm de tamanho justa-cólico, sem pneumoperitônio livre, conforme imagem abaixo:

Qual deve ser a conduta inicial para esse paciente?