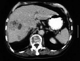
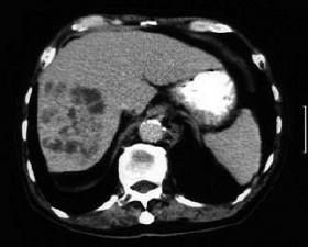
Um homem de 65 anos apresenta febre, astenia, perda de apetite, náusea e emagrecimento há cerca de 3 semanas. Os exames laboratoriais revelaram Htc 30%, Hgb 10g%, Leucócitos 11000 (0 – 0 – 0 – 0 – 7 – 68 – 17 – 8), AST 29 U/L (normal até 31 U/L), ALT 30 (normal até 37 U/L), fosfatase alcalina 320 U/L (normal até 120 U/L), bilirrubina total 0,9 mg/dL, bilirrubina indireta 0,7 mg/dL. USG abdominal: massa heterogênea de limites pouco definidos em lobo direito do fígado. TC de abdômen (a seguir). Observe as imagens e assinale a alternativa que apresenta o diagnóstico provável.

