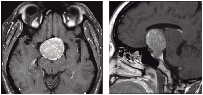
Mulher de 35 anos apresenta quadro de cefaleia e embaçamento visual. A ressonância magnética realizada é mostrada a seguir.

(Arquivo pessoal; imagem usada com autorização)
Qual o achado que, mais provavelmente, deve ser encontrado no exame físico?
Provas
Questão presente nas seguintes provas
Médico - Endocrinologia
50 Questões
Médico - Geral
50 Questões
Médico - Homeopatia
50 Questões
Médico - Oftalmologia
50 Questões
Médico - Patologia Clínica/Medicina Laboratorial
50 Questões
Médico - Reumatologia
50 Questões