Magna Concursos
3367438 Ano: 2024
Disciplina: Medicina
Banca: DIRENS Aeronáutica
Orgão: CIAAR
Provas:

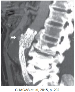
Qual o tipo de endoleak se observa na imagem abaixo?

Enunciado 3842464-1

 

Provas

Questão presente nas seguintes provas

CAMAR - Cirurgia Cardíaca

60 Questões