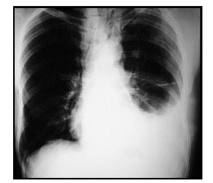
Paciente masculino, 66 anos, com antecedente de infarto agudo do miocárdio em 2013 e miocardiopatia isquêmica em acompanhamento com cardiologista. Procura o pronto-atendimento com queixa de dispneia aos mínimos esforços de instalação progressiva. Relata ainda dor torácica à esquerda que piora com inspiração profunda, além de febre diária há cerca de 01 semana. Realizou radiografia de tórax que diagnosticou presença de derrame pleural:

Foi submetido, então, à toracocentese diagnóstica com análise do líquido pleural evidenciando:
Macroscopia: líquido citrino com grumos
DHL: 3530 U/L
Proteínas: 9 g/dL
Glicose: 15 mg/dL
pH: 7,0
ADA: 25 U/L
Celularidade: 3500 cels (73% neutrófilos, 20% Linfócitos, 5% Eosinófilos)
Em relação à análise do líquido pleural, provável diagnóstico etiológico e conduta, assinale a alternativa CORRETA.