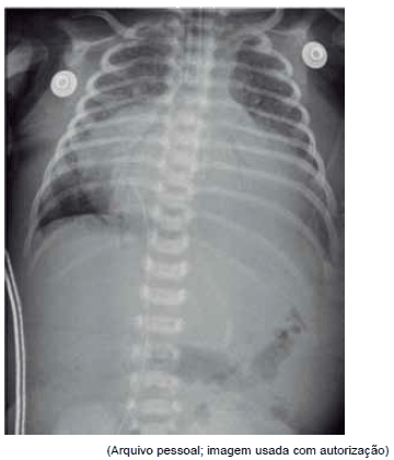
Paciente foi transferido de urgência em vaga zero de UBS para pronto-socorro cardiológico sem história de cardiopatia congênita prévia. Mãe refere que nasceu sem intercorrências, de parto normal, e teve alta no segundo dia de vida. Notou que sua criança tinha dificuldades às mamadas e ficava roxo aos esforços. Após exame físico e cuidados imediatos de intubação orotraqueal, cateter venoso central e sonda nasogástrica, foram feitos os seguintes exames:


Qual é o diagnóstico mais provável?