Magna Concursos
1854970 Ano: 2009
Disciplina: Medicina
Banca: CESPE / CEBRASPE
Orgão: SES-SE
Provas:

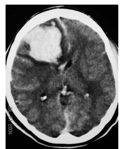
Uma mulher de 29 anos de idade teve sua gestação interrompida com 35 semanas, mediante parto cesariano, por ter apresentado quadro compatível com a doença hipertensiva específica da gravidez. No quinto dia de pós-operatório, apresentou importante dor de cabeça seguida de crises convulsivas; na avaliação laboratorial, foram atestadas plaquetopenia e alteração da função hepática. Ela foi levada à unidade de terapia intensiva, onde o plantonista observou hemiparesia esquerda e solicitou uma tomografia de crânio sem contraste, que é reproduzida abaixo.

Enunciado 1854970-1

Com base nessas informações, julgue os itens que se seguem.

Para essa paciente está contraindicada a punção lombar para alívio da cefaleia.
 

Provas

Questão presente nas seguintes provas

Médico - Neuroclínica

120 Questões