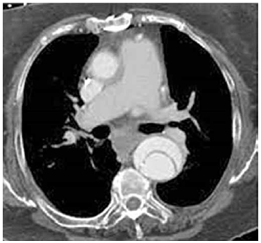
Homem, 60 anos, hipertenso, evolui com dor torácica em dorso de forte intensidade e início súbito, em caráter de facada. Realiza angiotomografia que evidencia a imagem a seguir. Frequência cardíaca de 90 bpm e pressão arterial de 240 x 120 mmHg.

É correto afirmar que
Provas
Questão presente nas seguintes provas