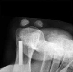
A seguir, observe a imagem de uma radiografia.

(Arquivo pessoal; imagem usada com autorização)
Assinale a alternativa que corretamente descreve o que está identificado na radiografia.
A seguir, observe a imagem de uma radiografia.

(Arquivo pessoal; imagem usada com autorização)
Assinale a alternativa que corretamente descreve o que está identificado na radiografia.