Magna Concursos
2673880 Ano: 2023
Disciplina: Biologia
Banca: FGV
Orgão: Pref. São Paulo-SP

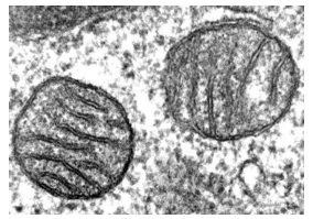
Observe a imagem obtida por microscopia eletrônica de transmissão.

Enunciado 3585524-1

As organelas acima

 

Provas

Questão presente nas seguintes provas