Avalie a imagem para responder à questão.

Em: https://comciencia.scielo.br/scielo.php?script=sci_arttext&pid=S1519-76542009000500013&lng=pt&nrm=iso
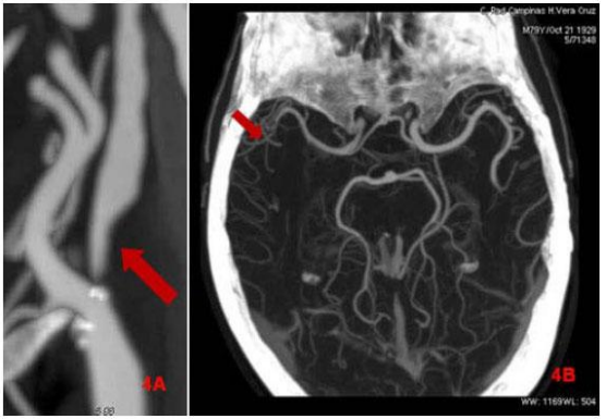
Na angio-RM intracraniana observa-se redução da arborização arterial no hemisfério correspondente,
com menor número de ramos visíveis no território da ACM. Indique a alternativa que melhor traduz
este achado: