Analise a figura.

Fonte: JUNIOR, C. M., Radiologia Básica, 2 ed., Revinter, 2016.
Quais das numerações presentes na figura, refere-se ao ar e à gordura, respectivamente?
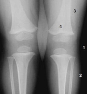
Analise a figura.

Fonte: JUNIOR, C. M., Radiologia Básica, 2 ed., Revinter, 2016.
Quais das numerações presentes na figura, refere-se ao ar e à gordura, respectivamente?