Magna Concursos
3953060 Ano: 2025
Disciplina: Medicina
Banca: VUNESP
Orgão: Pref. Sorocaba-SP
Provas:
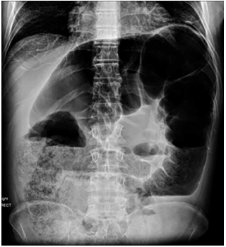
Homem, 76 anos de idade, apresenta dor abdominal, além de estar sem evacuar há 6 dias. Ao exame físico, nota-se dor à palpação e superficial difusa, além de descompressão brusca positiva. Realiza-se a radiografia de abdômen a seguir:


Enunciado 4892792-1

(Arquivo pessoal; imagem usada com autorização)

A hipótese diagnóstica é
 

Provas

Questão presente nas seguintes provas

Médico I - Clínica Geral

40 Questões