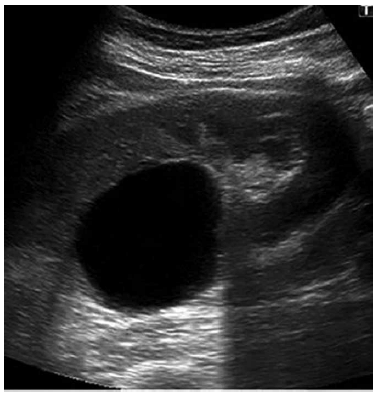
Paciente de 50 anos, sem comorbidades. Em exame de rotina, foi encontrada a imagem a seguir. Diante do achado da imagem, e com a opinião bem definida emitida pelo ultrassonografista no laudo, qual é a conduta mais adequada do nefro–urologista?

Paciente de 50 anos, sem comorbidades. Em exame de rotina, foi encontrada a imagem a seguir. Diante do achado da imagem, e com a opinião bem definida emitida pelo ultrassonografista no laudo, qual é a conduta mais adequada do nefro–urologista?
