Magna Concursos
2173713 Ano: 2021
Disciplina: Medicina
Banca: VUNESP
Orgão: EsFCEx

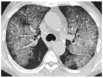
Homem de 50 anos, com dispneia há mais de 6 meses. Nesse caso, considerando-se a imagem a seguir, o padrão tomográfico e o principal diagnóstico diferencial são:

Enunciado 2173713-1

 

Provas

Questão presente nas seguintes provas

CFO-SSau - Médico/Radiologia

60 Questões