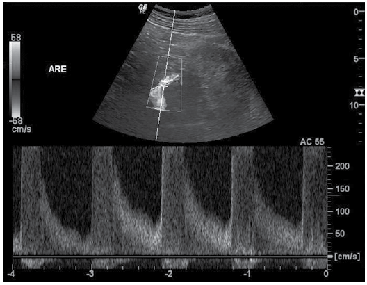
Considere a seguinte situação: paciente, sexo masculino, 73 anos, com história de hipertensão arterial sistêmica de difícil controle medicamentoso. Foi solicitado doppler das artérias renais.
As figuras a seguir mostram o achado de imagem mais relevante na artéria renal esquerda.


Analise as alternativas a seguir, e assinale aquela que melhor interpreta o exame doppler das artérias renais.