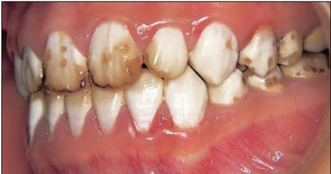
Paciente, 17 anos, moradora de uma cidade com água fluoretada, procurou atendimento odontológico, acompanhada de sua mãe, relatando que estava sofrendo bullying na escola devido à presença de algumas manchas em seus dentes. Durante a anamnese, a mãe disse que tinha muito medo de que a filha tivesse cáries e, por isso, sempre comprou cremes dentais fluoretados e pediu à médica pediatra a prescrição de medicamentos também contendo flúor. Durante a realização do exame clínico, o cirurgião-dentista constatou um quadro semelhante ao da figura abaixo:

(Minha Biblioteca, Grupo GEN, 2017.)
Considerando o exposto, analise as afirmativas a seguir.
I. As alterações dentárias foram causadas por intoxicação aguda pelo flúor.
II. Houve uma ingestão inadequada de produtos fluoretados durante a formação dos dentes.
III. A fase adulta é o período mais susceptível ao desenvolvimento das alterações dentárias.
IV. No Brasil, a prevalência da alteração dentária é muito baixa.
Está correto o que se afirma apenas em