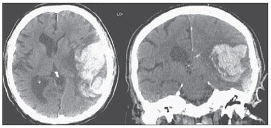
Analise a tomografia abaixo e indique qual o achado:
http://www.rb.org.br/detalhe_artigo.asp?id=2613&idioma=Portugues
Hematoma subdural.
Hemorragia subaracnóidea.
Hemorragia intraparenquimatosa.
Hematoma extradural.
Hematoma subgaleal.
Olá, para continuar, precisamos criar uma conta! É rápido e grátis.