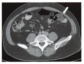
Mulher de 29 anos inicia com dor abdominal aguda em flanco esquerdo. O sintoma é bem localizado e a paciente consegue apontar o local exato da dor. Realizada tomografia com contraste endovenoso que evidencia densificação focal da gordura pericolônica esquerda, na borda antimesentérica, com aspecto em “dedo de luva”, apontado pela seta na figura abaixo. Assinale a alternativa com o diagnóstico CORRETO:
