Magna Concursos
2966579 Ano: 2022
Disciplina: Medicina
Banca: QUADRIX
Orgão: IAMSPE

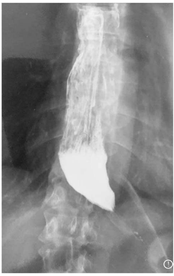
Enunciado 3313797-1

Considerando o exame acima apresentado, assim como seus achados, é correto afirmar que o mais provável sintoma do paciente seria

 

Provas

Questão presente nas seguintes provas