
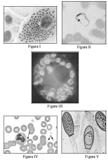
A doença de Chagas, que apresenta distribuição exclusiva nas Américas, é endêmica no Brasil. Estima-se que de 3 a 5 milhões de brasileiros estejam infectados com essa doença. Sua distribuição, que, antes, era principalmente rural, passou a ser também urbana, tendo sido observada prevalência de sangue infectado (em bancos de sangue) de até 53% em algumas regiões da América do Sul, o que supera a contaminação do sangue pelo vírus da hepatite. Alguns métodos para o diagnóstico da doença de Chagas, principalmente na fase aguda da infecção, incluem, em suas etapas, a busca do parasita por microscopia. As figuras de I a V acima mostram imagens desse parasita obtidas por microscopia óptica.
Considerando as informações e as figuras acima, assinale a opção correta no que se refere à doença de Chagas.