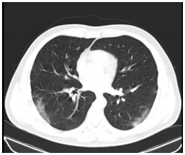
A imagem, abaixo, no corte tomográfico do tórax pode ser compatível com:

I. Pneumonia bacteriana. II. Pneumonia viral por influenza. III. Pneumonia organizante. IV. Pneumonia viral por covid-19.
Quais estão corretas?

I. Pneumonia bacteriana. II. Pneumonia viral por influenza. III. Pneumonia organizante. IV. Pneumonia viral por covid-19.
Quais estão corretas?