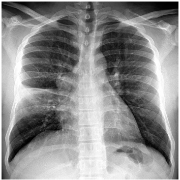
Homem de 73 anos de idade procura assistência médica com o relato de febre, dispneia e expectoração amarelada há 3 dias. Não há comorbidades, etilismo, tabagismo, vômitos ou diarreia. O paciente tomou as duas doses da vacina da Pfizer para COVID-19 há mais de 1 mês. Ao exame físico: consciente, orientado, corado e anictérico; PA: 125 x 82 mmHg, FC: 95 bpm, T: 38,1 ºC, FR: 20 ipm e SatO2: 97%; cardiopulmonar: NDN; extremidades bem perfundidas, sem edema. A radiografia realizada é mostrada a seguir:

Admitindo-se que os exames laboratoriais estão dentro dos limites da normalidade, a conduta de escolha é prescrever