Magna Concursos
3367898 Ano: 2024
Disciplina: Medicina
Banca: DIRENS Aeronáutica
Orgão: CIAAR
Provas:

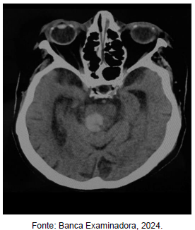
Enunciado 3842931-1

Com base na figura acima, em qual região do tronco cerebral está localizada a hemorragia?

 

Provas

Questão presente nas seguintes provas

CAMAR - Medicina/Neurologia

60 Questões