Magna Concursos
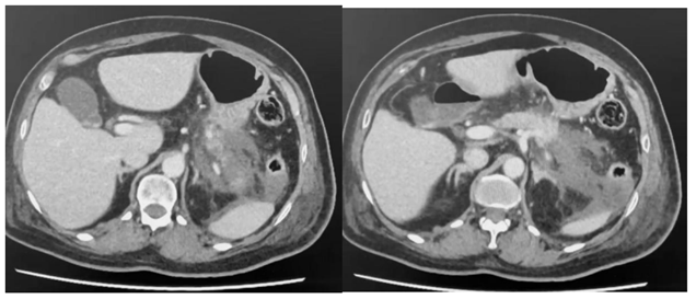
Paciente com pancreatite aguda que necessitou durante 36 h de droga vasoativa no início de tratamento, realizou a tomografia com contraste endovenoso no quinto dia de internação, conforme abaixo. 

Enunciado 4906328-1

De acordo com as informações e tomografia acima, assinale a alternativa correta.
 

Provas

Questão presente nas seguintes provas