Magna Concursos
601331 Ano: 2019
Disciplina: Medicina
Banca: VUNESP
Orgão: Pref. Campinas-SP
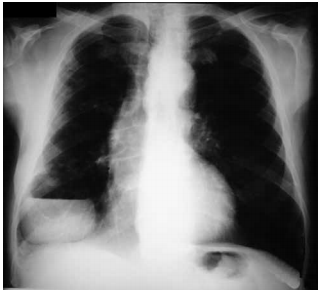
Paciente de 66 anos, sexo masculino, chega ao ambulatório relatando quadro de tosse, expectoração amarelada e febre (39 ºC) há 2 dias, acompanhada de dor torácica. Ele também refere etilismo e tem dentes em mal estado de conservação. Ele satura 91% em ar ambiente e a frequência respiratória encontra-se em 28 ipm. A seguir o raio X de tórax.

enunciado 601331-1
Neste momento, a conduta correta a ser instituída é
 

Provas

Questão presente nas seguintes provas

Médico - Geral

50 Questões

Médico - Pediatria

50 Questões