Magna Concursos
2118518 Ano: 2021
Disciplina: Medicina
Banca: RBO
Orgão: Pref. Belo Horizonte-MG
Provas:

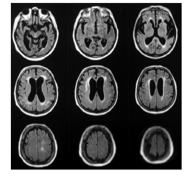
Observe a sequência de imagens abaixo e assinale a alternativa que apresenta sua correta leitura.

Enunciado 2118518-1

 

Provas

Questão presente nas seguintes provas

Médico - Neurologia

50 Questões