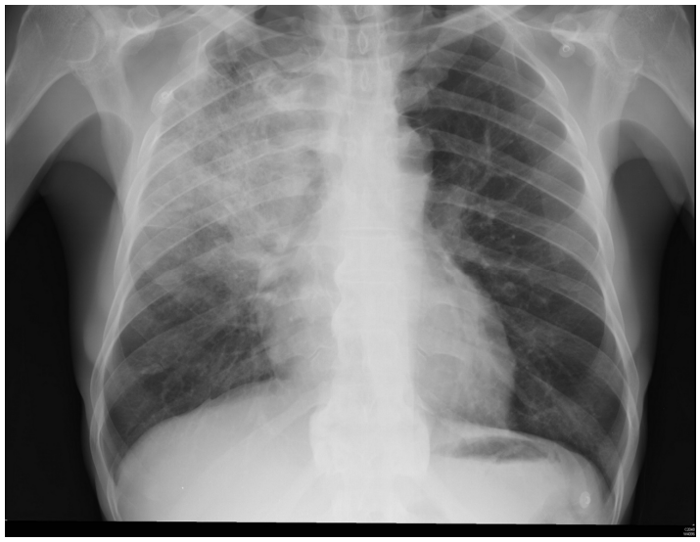
.......Um paciente de setenta anos de idade, com queda do estado geral e inapetência há cerca de três dias, previamente hipertenso e diabético, apresenta-se sonolento e pouco responsivo, com PA de 100 x 60 mmHg, TEC de 4 segundos e FC de 126 bpm. Seus familiares contam que ele tem quadro de tosse produtiva há cerca de uma semana. Exames disponíveis: Hb 14; leucócitos 10.000; plaquetas 200.000; Ur 40; e Cr 1,2. O RX do paciente é mostrado abaixo.

Internet: <https://www.todoestudo.com.br/wp-content/uploads/2018/02/pneumonia.jpg>.
Com base nesse caso hipotético, assinale a alternativa que apresenta a conduta mais adequada.