Magna Concursos
3530714 Ano: 2024
Disciplina: Medicina
Banca: QUADRIX
Orgão: SES-SP
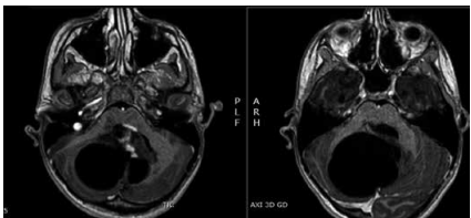
Um jovem de 14 anos de idade deu entrada no pronto-socorro com queixa de cefaleia persistente. A anamnese evidenciou que a cefaleia era matinal, com dois meses de evolução e obtinha alívio após vômitos. O paciente apresentou dificuldades de equilíbrio e de coordenação motora. Ele estava consciente, orientada, com marcha atáxica. O paciente apresentava incoordenação do membro superior ao realizar a prova índice-nariz. Foi realizada a ressonância do encéfalo com contraste, conforme ilustra a imagem a seguir.


Enunciado 4131012-1
Ressonância magnética axial 3d com contraste.

Com base nessa situação hipotética, e em relação à lesão apresentada acima, é correto afirmar que se trata de um
 

Provas

Questão presente nas seguintes provas

Residência em Medicina - Dor

50 Questões