Magna Concursos
2209368 Ano: 2021
Disciplina: Radiologia
Banca: FAU-UNICENTRO
Orgão: FASP

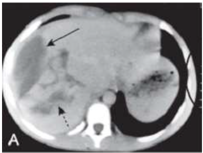
Paciente procura unidade de Urgência com dor em hipocôndrio direito, evolução de 48 hs, após trauma abdominal, acompanhada de náuseas e vômitos e queda do estado geral. Após a abordagem terapêutica foi submetido ao exame de Tomografia do Abdome (imagem abaixo, figura A.), qual o órgão avaliado e o que indicam as setas contínua e descontínua?

Enunciado 3377021-1

FONTE: HERRING, 2019

 

Provas

Questão presente nas seguintes provas