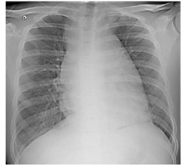
Paciente do sexo masculino, de 16 anos de idade, estudante, compareceu a consulta no posto de saúde, acompanhado da mãe, com queixa de dor no peito. Relatou início dos sintomas após colisão quando jogava futebol. O exame físico foi normal. A imagem a seguir mostra o Raio X do paciente, solicitado por insistência da mãe.

Considerando o caso clínico apresentado, julgue os itens a seguir.
Provas
Questão presente nas seguintes provas
Residência em Medicina - Endoscopia Respiratória II
120 Questões