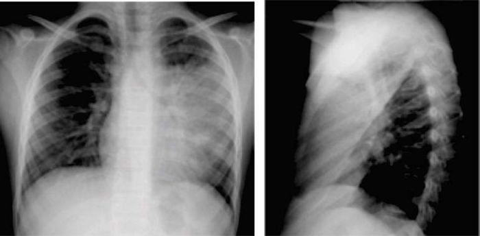
Um paciente de 36 anos de idade procurou atendimento médico queixando-se de tosse produtiva com escarro purulento, febre alta com calafrios e dor pleurítica à esquerda. Negou comorbidades e tabagismo. Ao exame físico, observava-se PA de 121 x 79 mmHg, FC de 106 bpm, FR de 23 irpm, Sat. de o2 de 94% em ar ambiente, com temperatura axilar de 38,8 ⁰C. O exame do tórax registrou a presença de murmúrio vesicular reduzido à esquerda. O hemograma mostrou leucocitose de 18.000 com 4% de bastões, sendo que eletrólitos e função renal e hepática estavam normais. A radiografia de tórax obtida na admissão é a seguinte:

Com base nesse caso hipotético, assinale a alternativa correta: