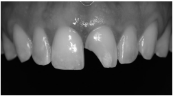
Paciente, JBS, 22 anos, gênero feminino, compareceu à clínica odontológica queixando-se de fratura recente no dente 21 e de sensibilidade às trocas térmicas. Ao exame clínico-radiográfico, constatou-se extensa fratura do ângulo incisal mesial do dente em questão (conforme figura abaixo). Outras alterações também foram encontradas, acometendo os seguintes dentes:
Dente 16 - lesão cariosa cavitada ativa mésio-oclusal, com cerca de 0,4mm de espessura de remanescente dentinário;
Dente 23 - lesão cariosa cavitada ativa disto-palatina de profundidade média;
Dente 24 - lesão cervical não cariosa, com relato de sensibilidade à escovação e ao consumo de alimentos frios;
Dente 37 - lesão cariosa cavitada ativa profunda na superfície oclusal.

Fonte: Arquivo da Banca Elaboradora.
Para o restabelecimento adequado da forma, função e estética do dente 21, o profissional deve estar atento à escolha do material restaurador.
São propriedades que devem ser levadas em consideração para o caso em questão, exceto a