Magna Concursos
1663588 Ano: 2019
Disciplina: Medicina
Banca: UPENET/IAUPE
Orgão: SES-PE

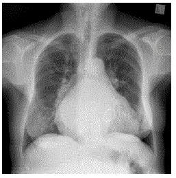
enunciado 1663588-1

Sobre ele, assinale a alternativa CORRETA.
 

Provas

Questão presente nas seguintes provas

Residência em Medicina - Cardiologia

50 Questões