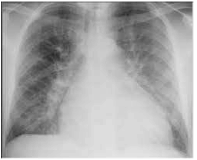
Paciente MDH, homem, de 42 anos de idade, foi internado por dispneia aos esforços há cinco meses, com sensação de opressão no tórax há uma semana. Nega tosse, expectoração ou chiado. Nega tabagismo. Seu exame físico da entrada revelou o seguinte: PA de 110 mmHg × 76 mmHg; FC de 54 bpm; saturação de O2 (ar ambiente) de 91%. Ausculta cardíaca: hiperfonese e desdobramento de segunda bulha em foco pulmonar. Turgência jugular bilateral. Pulmões com estertores bibasais. Apresenta ecocardiograma transtorácico com FEVE de 34% e a radiografia inicial mostrada a seguir. O paciente é estabilizado no terceiro dia da internação e já está com a volemia estável.

A partir desse caso hipotético, assinale a alternativa correta, a respeito do planejamento pós-alta desse paciente, de acordo com a Diretriz Brasileira de Insuficiência Cardíaca Crônica e Aguda.