Magna Concursos
2959331 Ano: 2023
Disciplina: Medicina
Banca: VUNESP
Orgão: EsFCEx

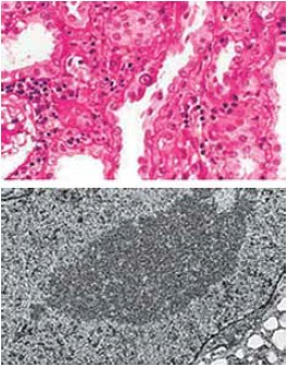
No transplante renal, tem sido descritas as infecções oportunistas. As imagens a seguir na microscopia óptica e eletrônica sugerem:

Enunciado 3282471-1

(Arquivo pessoal; imagens usadas com autorização.)

 

Provas

Questão presente nas seguintes provas

CFO-SSau - Médico/Nefrologia

60 Questões