Magna Concursos
799576 Ano: 2006
Disciplina: Medicina
Banca: VUNESP
Orgão: Pref. Sorocaba-SP
Provas:

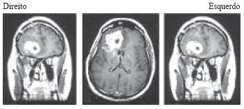
As imagens de RNM, com seqüências ponderadas em T1, feitas com contraste gadolíneo, mostram a presença de um processo expansivo na região frontal direita.

Enunciado 799576-1

O achado anátomo- patológico mais relacionado à piora do prognóstico do tumor apresentado é

 

Provas

Questão presente nas seguintes provas

Médico - Neurologia

50 Questões