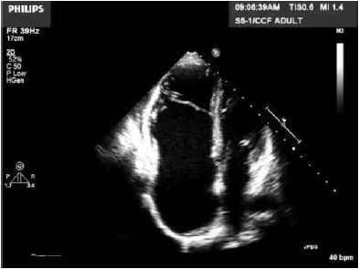
Mulher, 25 anos, apresenta intolerância aos esforços e palpitações. Realiza ecocardiograma apresentado na imagem a seguir.

(Arquivo pessoal; imagem usada com autorização)
Assinale a alternativa correta quanto à hipótese diagnóstica.
Mulher, 25 anos, apresenta intolerância aos esforços e palpitações. Realiza ecocardiograma apresentado na imagem a seguir.

(Arquivo pessoal; imagem usada com autorização)
Assinale a alternativa correta quanto à hipótese diagnóstica.