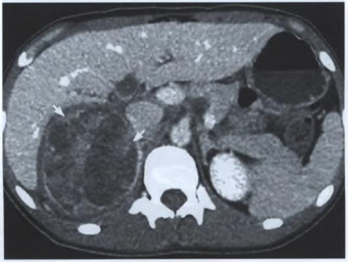
Mulher de 45 anos, apresentando sinais de virilização, procura atendimento endocrinológico e, na primeira consulta, alguns exames laboratoriais e de imagem são solicitados. O ultrassom de rotina, realizado semanas antes da referida consulta, descreve massa na adrenal direita e sugere prosseguimento da investigação. O endocrinologista solicita tomografia abdominal com contraste. De acordo com a imagem tomográfica mostrada a seguir, extraída da tomografia da paciente do caso relatado, assinale a alternativa INCORRETA.
