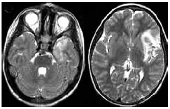
Feminina, 42 anos, admitida no pronto-socorro com história de febre não aferida e confusão mental de início há 3 dias. Enquanto aguardava para ser atendida, apresentou um episódio de crise convulsiva generalizada. Ao exame neurológico, apresentava confusão mental, agitação psicomotora e rigidez de nuca. O exame de neuroimagem encontra-se abaixo.

Exame de líquor mostrou pressão de abertura de 22 mmH20, celularidade de 25 com predomínio de linfócitos, proteinorraquia de 15 mg/dL e glicorraquia de 50 mg/dL. De acordo com este quadro clínico, assinale a alternativa correta.