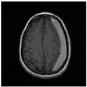
Paciente idoso, de 81 anos, sexo masculino, apresenta queda da própria altura ao se levantar rápido da cama no período noturno para ir ao banheiro, fato que estava acontecendo de forma frequente, pois estava com a diabetes descompensada nos últimos quatro meses. Porém, dessa vez, durante a queda, ele bateu a cabeça na cômoda do quarto, o que preocupou sua filha. Foi levado ao pronto-socorro do hospital mais próximo de sua casa. Além da Diabetes mellitus do tipo 2, o paciente também é hipertenso; ansioso; e, cardiopata, tendo colocado um stent farmacológico em uma de suas coronárias há 7 meses e, por este motivo, fazia uso de AAS e clopidogrel. O paciente realizou a seguinte tomografia computadorizada de crânio:

Qual diagnóstico provável do paciente?