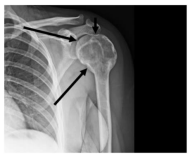
A imagem apresenta uma radiografia do ombro esquerdo do paciente.

Fonte: Guilherme Pioli Resende et http://bradcasesold.brad.org.br/pt/Cases/CaseDetails/232 al (2021).
A região assinalada na imagem é denominada:
A imagem apresenta uma radiografia do ombro esquerdo do paciente.

Fonte: Guilherme Pioli Resende et http://bradcasesold.brad.org.br/pt/Cases/CaseDetails/232 al (2021).
A região assinalada na imagem é denominada: